Skip to Main Content
The student newspaper of Wellesley College since 1901

The Wellesley News

The student newspaper of Wellesley College since 1901

The Wellesley News

The student newspaper of Wellesley College since 1901

The Wellesley News

The Wellesley News Features Logo.

Professor Banu Subramaniam Lectures on Decolonizing Botany and Announces New Book

Anika Sridhar | March 6, 2024

On Feb. 26, Dr. Banu Subramaniam, Luella LaMer professor of women’s and gender studies and chair of the WGST department gave the second lecture in the Marjory Stoneman Douglas Voices in Environmental...

The Wellesley News Features Logo.

The BIPOC Youth Perspective: An Educational Review

Yamira Patterson | December 13, 2023

The road to Wellesley is different for all students, especially BIPOC students. From Rwanda to Houston, through our inquiry to action project for EDUC 215: Educational Inequality and Social Transformations...

Experiencing extremes: plunging into polar pasts with NOVA to reveal future climates 

Experiencing extremes: plunging into polar pasts with NOVA to reveal future climates 

Chloe Nosan | December 4, 2019

Our climate is changing. This is not breaking news — CO2 levels, global temperatures and sea levels are all on the rise, and so is our awareness of climate issues at Wellesley. With events like Sept.’s...

HIV infects and destroys T-cells Photo Courtesy of ReachMD

HIV remission reported in bone marrow transplant patient in the United Kingdom

Alyssa Li | April 3, 2019

We often speak admirably about the human spirit — resilience, passion, resolve — and shy away from our fragility and mortality, especially when it concerns viruses. After all, what could be more terrifying...

The Fourth National Climate Assessment detailed the impacts of climate change Photo Courtesy of ABC News

Global warning: climate change threatens U.S. economy, human health and cultural identity

Noor Pirani | December 6, 2018

Thousands of research studies have documented evidence that Earth’s climate is changing, with many reports specifying human activity as the primary cause. While we may be familiar with global warming’s...

Your body burns calories even at rest Photo Courtesy of Shutterstock

Timing is everything: the amount of calories burned at rest may vary throughout the day

Noor Pirani | November 14, 2018

We all know that strenuous exercise like running or swimming can help burn off extra calories. But did you know that your body is burning calories even as you sit at your desk and pore over this article?...

Your nose knows the way: Senses of smell and navigation may be linked

Noor Pirani | October 25, 2018

Who would have thought that your sense of smell and your ability to navigate are related? Though this appears to be a somewhat random connection, neuroscientists published a study this month suggesting...

New paint can reduce environmental impact of AC

Beat the heat: Scientists engineer cooling paints for buildings

Noor Pirani | October 3, 2018

When you feel hot indoors during the summer, your first impulse might be to crank up the air conditioning. Millions of other people likely have the same inclination, and although these machines are effective...

To be or not to BPA: Alternatives to Bisphenol A may prove harmful

Noor Pirani | September 20, 2018

If you look at the bottom of your plastic water bottle, chances are you’ll find the words “BPA-free” imprinted underneath. This marking refers to the compound Bisphenol A, which has proven harmful...

New discoveries have been made about how fungi sense gravity Photo Courtesy of Steven Depolo

The evolution of fungal gravity sensing

Elinor Higgins | May 2, 2018

Most of us have experienced that disappointing moment when we pull some delicious food out of the refrigerator — strawberries, for instance — and notice that it is sporting fuzzy mold. While it isn’t...

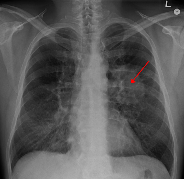
A new lung cancer treatment has seen some success Photo Courtesy of Dr. James Heilman

New treatment decreases deaths from lung cancer

Elinor Higgins | April 18, 2018

Most of us know from our high school health classes that we should avoid smoking because it can cause lung cancer. Many students were presented with disturbing visuals that compare healthy lungs with a...

FDA approves 23andMe test for breast cancer genetic risk

Elinor Higgins | April 5, 2018

Scientists are constantly uncovering more information about human genes, their sequences, their mutations and the problems that those mutations can cause. As the number of discoveries increases, so do...

Load More Stories